Ref. modelo LA12D001.4
myATHENA é o laser de Diodo que eleva os teus tratamentos diários e cria novas possibilidades na estética facial minimamente invasiva*. As 3 comprimentos de onda combinados, escolhidos pelos maiores especialistas em odontologia laser, garantem resultados excelentes em todas as aplicações.


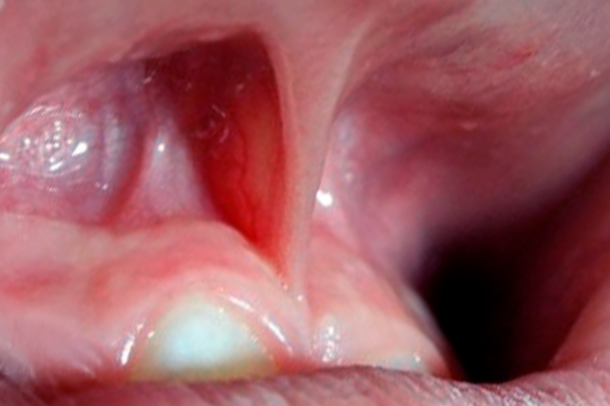
FRENULECTOMIA
LABIAL


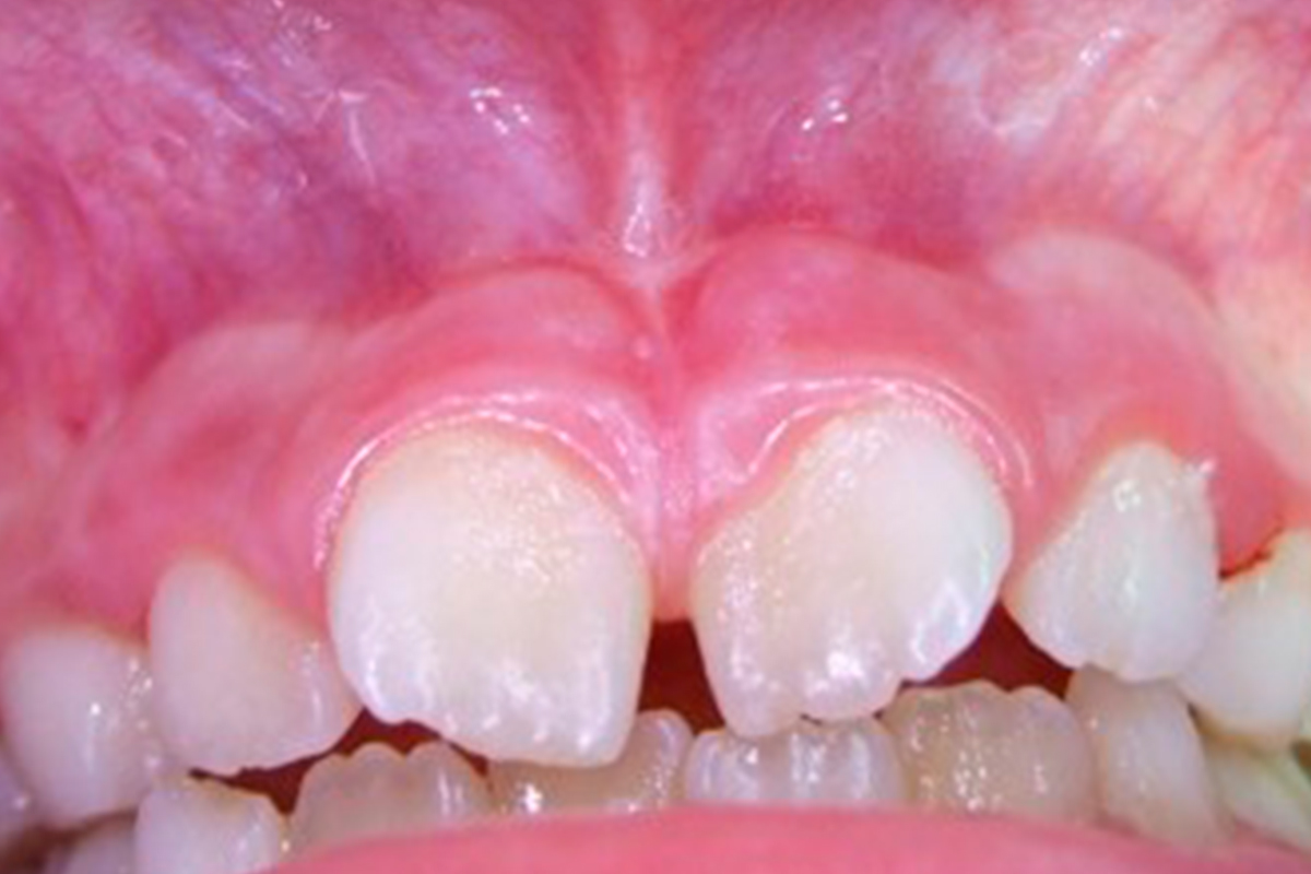
REMOÇÃO DE
FIBROMA LINGUAL


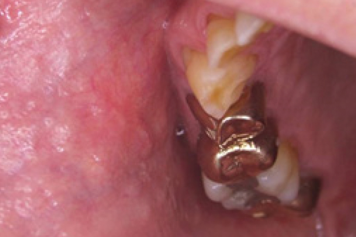
TRATAMENTO DE
HEMANGIOMA ORAL


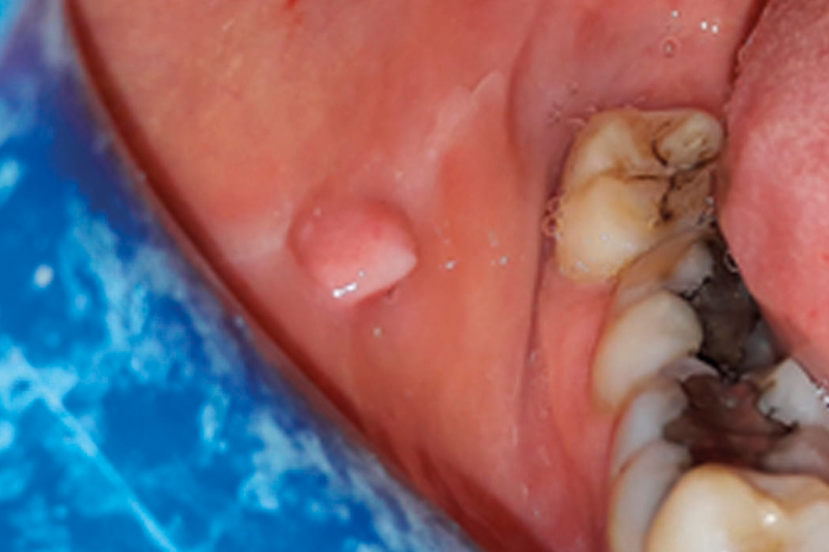
REMOÇÃO DE FIBROMA
NA MUCOSA BUCAL


TRATTAMENTO
HERPES SIMPLEX


GENGIVECTOMIA
O laser myATHENA oferece tratamentos avançados, terapia eficaz e aplicações estéticas inovadoras num único equipamento
Fotobiorrejuvenescimento cutâneo, cirurgia dermatológica, depigmentação cutânea e terapia vascular: com o myATHENA integras a medicina estética minimamente invasiva* na tua prática através de tratamentos de elevado valor acrescentado. Mais tratamentos, mais pacientes, mais oportunidades para a tua clínica.


TRATAMENTO DE
RUGAS PERIORAIS


TRATAMENTO DE
RUGAS PERIORAIS


REMOÇÃO
DE FIBROMA


REMOÇÃO DE
HEMANGIOMA LABIAL


DEPIGMENTAÇÃO
CUTÂNEA


TRATAMENTO DE
TELANGIECTASIAS
3 comprimentos de onda combinados
para resultados clínicos excecionais
Comprimento de onda ideal para obter uma cirurgia eficaz, rápida e precisa, mesmo a potências muito baixas. A melhor solução para corte eficiente e grande capacidade de descontaminação.
Ideal para tratamentos de biostimulação e oxigenação tecidual, aumentando a atividade dos fibroblastos e a vasodilatação periférica.
Considerando as características de absorção da hemoglobina e da água, combinada com a de 450 nm, é ótima tanto para corte como para coagulação.
Para a terapia de imperfeições estéticas vasculares do rosto, como capilares e telangiectasias.
Para a biorregeneração cutânea. Ativa mecanismos que auxiliam a regeneração do colagénio.
Estimula a fotobiomodulação dos tecidos orais, acelerando os processos de cicatrização.
Para a bioestimulação por contacto. Acelera a cicatrização dos tecidos e melhora o pós-operatório.
Permite montar diferentes pontas consoante o tratamento clínico a realizar.
Praticidade e higiene garantidas
O laser myARHES está equipado com pontas autoclaváveis e facilmente intercambiáveis que se fixam diretamente à peça de mão. Disponíveis em várias cores e diâmetros, conforme o procedimento para o qual são destinadas.
Para cirurgia gengival, gengivectomia, gengivoplastia, frenectomia labial e/ou lingual, preparação do sulco protético e incisão/drenagem de abcessos.

Para descontaminação e redução da inflamação em bolsas gengivais e tratamento de recessões gengivais.
Para descontaminação dos canais radiculares, pulpectomia, descontaminação apical e capeamento pulpar.
Para descontaminação do local do implante, exposição do implante, biostimulação pós-cirúrgica e descontaminação de alvéolos pós-extração.
Para tratamento de aftas, herpes, queilite, hipersensibilidade dentinária e terapia da dor.
Para branqueamento de vários dentes em simultâneo.
Preenche o formulário para pedir uma demonstração gratuita — uma oportunidade única para conhecer de perto a nossa tecnologia e ver os resultados que podes alcançar.